Các bác sĩ vừa tiếp nhận nữ bệnh nhân 38 tuổi nhập viện trong tình trạng đau bụng liên tục, từng cơn ngày càng dữ dội, kèm buồn nôn, nôn nhiều, chướng bụng và không trung tiện, đại tiện. Đây là những biểu hiện điển hình của tắc ruột – bệnh lý có thể dẫn đến hoại tử ruột, viêm phúc mạc, nhiễm trùng nặng, thậm chí đe dọa tính mạng nếu không được xử trí kịp thời.
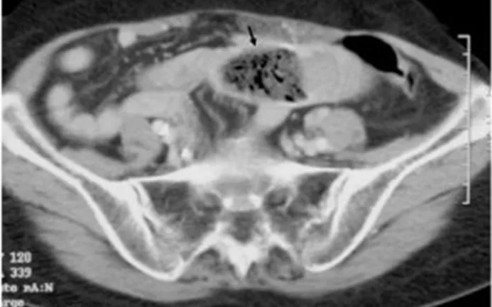
Qua thăm khám lâm sàng và các phương tiện chẩn đoán hình ảnh, bác sĩ phát hiện trong dạ dày bệnh nhân có một khối bã thức ăn lớn, đồng thời một khối khác gây tắc ruột non. Tổn thương xuất hiện ở hai vị trí khiến ca bệnh trở nên phức tạp, buộc các chuyên khoa phải phối hợp để lựa chọn phương án điều trị hiệu quả nhưng vẫn bảo đảm an toàn và hạn chế xâm lấn.

Ở bước đầu, ê-kíp Nội Tiêu hóa tiến hành nội soi dạ dày can thiệp. Bằng kỹ thuật chuyên sâu, các bác sĩ làm mềm, phá vỡ và lấy trọn khối bã thức ăn trong dạ dày qua đường miệng. Cách tiếp cận này giúp người bệnh tránh được một cuộc mổ mở, giảm đau và rút ngắn thời gian hồi phục.
Sau đó, ê-kíp Ngoại khoa tiếp tục phẫu thuật nội soi ổ bụng để xử lý khối bã gây tắc ruột non. Các bác sĩ xác định chính xác vị trí tắc, mở một đường nhỏ khoảng 3cm, đưa quai ruột chứa bã ra ngoài để lấy dị vật, đồng thời bảo tồn tối đa cấu trúc và chức năng của ruột. Nhờ áp dụng phẫu thuật nội soi, bệnh nhân ít đau sau mổ, sớm vận động và nhanh chóng ăn uống trở lại.
Sau quá trình điều trị, tình trạng tắc ruột được giải quyết hoàn toàn. Bệnh nhân hồi phục tốt, không ghi nhận biến chứng và thời gian nằm viện được rút ngắn đáng kể.
Theo khuyến cáo của bác sĩ, tắc ruột do bã thức ăn thường gặp ở những người ăn nhiều thực phẩm khó tiêu như hồng, măng, rau già, trái cây xanh; người có thói quen nhai không kỹ; hoặc từng phẫu thuật dạ dày – ruột. Khi xuất hiện các dấu hiệu như đau bụng kéo dài, nôn nhiều, chướng bụng, bí trung tiện, người dân cần đến cơ sở y tế có chuyên khoa Tiêu hóa và Ngoại khoa để được thăm khám, xử trí sớm.

Bình luận
0