Những ngày cuối tháng 2, tại Bệnh viện Nhi Trung ương, ê-kíp bác sĩ đã phẫu thuật thành công cho một bệnh nhi mắc u sụn ác tính tái phát ở đầu dưới xương mác trái, qua đó giữ lại được chi thể thay vì phải cắt bỏ.

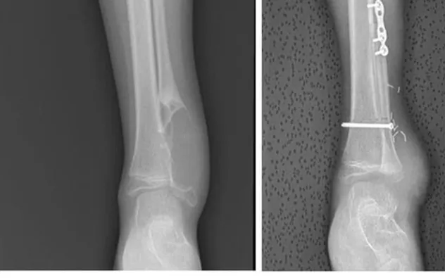
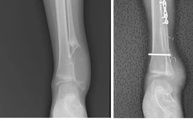
Theo thông tin từ bệnh viện, bé gái được phát hiện bất thường từ nhỏ nhưng quá trình tái khám bị gián đoạn. Khi nhập viện trở lại, khối u đã phát triển lớn, xâm lấn toàn bộ mắt cá ngoài và chèn ép nhiều cấu trúc quan trọng. May mắn, kết quả đánh giá cho thấy bệnh chưa di căn, tạo điều kiện để can thiệp triệt để.
Các bác sĩ đã tiến hành cắt bỏ toàn bộ khối u theo đúng nguyên tắc phẫu thuật ung thư, bảo đảm diện cắt an toàn. Thách thức lớn nhất là tái tạo cấu trúc cổ chân sao cho vừa giữ vững trục chi, vừa bảo tồn chức năng vận động lâu dài cho trẻ.
Ê-kíp quyết định áp dụng kỹ thuật ghép chỏm xương mác có cuống mạch, kết hợp vi phẫu nối mạch và tái tạo hệ thống dây chằng cổ chân. Ca mổ kéo dài 8 giờ, đòi hỏi sự phối hợp chặt chẽ của nhiều chuyên khoa và độ chính xác cao trong từng thao tác nhằm tránh tổn thương mạch máu, thần kinh.
Theo TS.BS Hoàng Hải Đức, việc tái tạo không đơn thuần là ghép xương mà phải khôi phục được cấu trúc chịu lực và độ ổn định của khớp cổ chân. Nếu thực hiện không đúng kỹ thuật, trẻ có nguy cơ lệch trục chi, hạn chế vận động và có thể phải can thiệp nhiều lần về sau.
Sau phẫu thuật, bệnh nhi hồi phục tốt, xương ghép ổn định, chức năng vận động và cảm giác bàn chân được bảo tồn. Hai tuần sau mổ, trẻ xuất viện và không cần hóa trị bổ sung.
Thành công của ca bệnh được đánh giá là bước tiến quan trọng trong phẫu thuật bảo tồn chi ở trẻ em, mở ra thêm cơ hội điều trị hiệu quả cho các trường hợp u xương phức tạp, giúp bệnh nhi duy trì khả năng vận động và nâng cao chất lượng sống lâu dài, đúng dịp kỷ niệm Ngày Thầy thuốc Việt Nam 27/2.

Bình luận
0