Khoa Ngoại Tổng hợp, Bệnh viện Đa khoa Hùng Vương (Phú Thọ) vừa tiếp nhận một bệnh nhi 7 tuổi nghi nuốt dị vật sau khi vui chơi. Khi xuất hiện các dấu hiệu bất thường, trẻ đã được gia đình nhanh chóng đưa đến bệnh viện thăm khám.

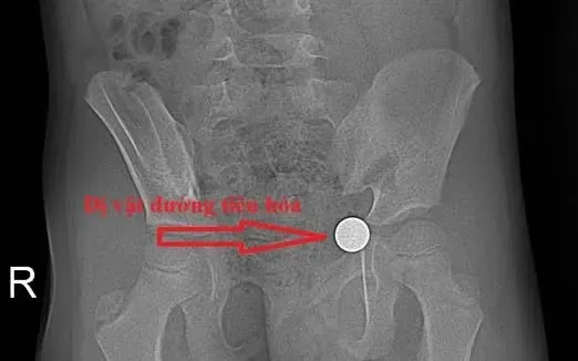
Qua kiểm tra và chụp X-quang, các bác sĩ phát hiện dị vật dạng viên bi đã di chuyển xuống đường tiêu hóa dưới. Sau khi đánh giá tình trạng, bệnh nhi được chỉ định điều trị nội khoa và theo dõi chặt chẽ.
Sau một ngày theo dõi, dị vật đã được đào thải tự nhiên, sức khỏe của bệnh nhi ổn định, không ghi nhận biến chứng.
Tuy nhiên, theo các bác sĩ, không phải trường hợp nào cũng diễn tiến thuận lợi. Nhiều ca nuốt dị vật có thể gây hậu quả nghiêm trọng như tắc ruột, tổn thương niêm mạc đường tiêu hóa, thậm chí đe dọa tính mạng, đặc biệt khi dị vật là vật sắc nhọn, pin hoặc nam châm.
Thực tế, trẻ nhỏ rất dễ nuốt phải các vật dụng quen thuộc như viên bi, đồng xu hoặc các chi tiết nhỏ từ đồ chơi chỉ trong tích tắc.
Các bác sĩ khuyến cáo phụ huynh không cho trẻ chơi những vật nhỏ, dễ nuốt, đồng thời cần luôn giám sát trẻ trong quá trình vui chơi. Khi nghi ngờ trẻ nuốt dị vật, cần nhanh chóng đưa đến cơ sở y tế để được thăm khám, tuyệt đối không tự xử trí tại nhà.
Sự cẩn trọng và chủ động của người lớn đóng vai trò then chốt trong việc bảo vệ an toàn cho trẻ, góp phần phòng tránh những tai nạn đáng tiếc có thể xảy ra.

Bình luận
0