Theo dõi kênh trên

quá trình sử dụng

Toyota Việt Nam giới thiệu Fortuner 2024 với giá bán mới

Toyota Việt Nam giới thiệu Fortuner 2024 với giá bán mới

VTV.vn - Vừa qua, Toyota Việt Nam giới thiệu Fortuner 2024 động cơ dầu đạt tiêu chuẩn khí thải Euro 5 cùng những cải tiến về trang bị và giảm giá bán so với phiên bản tiền nhiệm.
08/01/2024
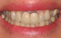
Ánh đen răng, lợi không ôm sát chân răng khi trồng implant báo hiệu điều gì?

Ánh đen răng, lợi không ôm sát chân răng khi trồng implant báo hiệu điều gì?

VTV.vn - Nếu bạn đang gặp phải tình trạng ánh đen răng, lợi không ôm sát chân răng sau khi trồng răng implant hãy cảnh giác, bởi có thể báo hiệu các vấn đề nghiêm trọng sau đây.
06/01/2024
TP Hồ Chí Minh: Hoàn thành 2 nhà vệ sinh công cộng miễn phí trên "đất vàng"

TP Hồ Chí Minh: Hoàn thành 2 nhà vệ sinh công cộng miễn phí trên "đất vàng"

VTV.vn - Theo thống kê, TP Hồ Chí Minh chỉ có hơn 200 nhà vệ sinh công cộng, trong đó đa số đã xuống cấp.
07/05/2023
Đặc quyền riêng dành cho khách hàng sử dụng máy kéo John Deere

Đặc quyền riêng dành cho khách hàng sử dụng máy kéo John Deere

VTV.vn-Đại lý An Mỹ Phát thuộc hệ thống phân phối của CTCP Thành Thành Công-Biên Hoà (TTC-BH) đưa ra chương trình "Đặc quyền riêng dành cho khách hàng sử dụng máy kéo John Deere".
22/10/2022
7 công dụng làm đẹp da tuyệt vời của đá lạnh

7 công dụng làm đẹp da tuyệt vời của đá lạnh

VTV.vn - Sử dụng đá viên là một cách đơn giản nhưng hiệu quả rõ rệt, giúp bạn có được làn da tươi trẻ, đầy sức sống hơn mà không cần tốn nhiều công sức.
16/01/2021
Ra mắt ứng dụng học tiếng Anh bằng phương pháp ngôn ngữ lập trình tư duy

Ra mắt ứng dụng học tiếng Anh bằng phương pháp ngôn ngữ lập trình tư duy

VTV.vn - Hôm nay (16/7), ứng dụng Học tiếng Anh KickEnglish trên cả 2 nền tảng iOS và Android đã được ra mắt.
16/07/2020
Ngày nắng nóng, sử dụng điều hòa thế nào để tiết kiệm điện?

Ngày nắng nóng, sử dụng điều hòa thế nào để tiết kiệm điện?

VTV.vn - Mùa nắng nóng còn kéo dài hơn 2 tháng nữa, nếu sử dụng điều hòa đúng cách, chúng ta sẽ có một mùa hè vừa mát và vừa tiết kiệm điện.
20/06/2020
Mercedes-Benz triệu hồi GLE 2020

Mercedes-Benz triệu hồi GLE 2020

VTV.vn - Mẫu SUV hạng sang của Mercedes-Benz là GLE phiên bản 2020 đang thuộc diện phải triệu hồi tại Bắc Mỹ do trục trặc ở hệ thống túi khí phía sau.
02/05/2020
5 sai lầm khi sử dụng mascara mà bất kỳ chị em nào cũng mắc phải

5 sai lầm khi sử dụng mascara mà bất kỳ chị em nào cũng mắc phải

(VTV.vn) - Mascara là một loại mỹ phẩm quen thuộc giúp các nàng có được hàng mi dày và dài hơn mà không cần đến biện pháp nối mi.
27/02/2015

Bạn không thể gửi bình luận liên tục.
Xin hãy đợi 60 giây nữa.