Theo dõi kênh trên

lời cảnh báo

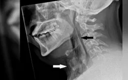
Ghi nhận trường hợp "rách khí quản vì nhịn hắt hơi" đầu tiên trên thế giới

Ghi nhận trường hợp "rách khí quản vì nhịn hắt hơi" đầu tiên trên thế giới

VTV.vn - Nếu bạn thường xuyên nhịn hắt hơi, trường hợp hy hữu sau đây có thể là lời cảnh báo dành cho bạn.
19/12/2023
Tiểu đường loại 2 trên đà trở thành căn bệnh của giới trẻ Mỹ

Tiểu đường loại 2 trên đà trở thành căn bệnh của giới trẻ Mỹ

VTV.vn - Đến năm 2060, tỉ lệ tiểu đường loại 2 ở giới trẻ Mỹ có thể tăng thêm 700%.
04/01/2023
Selena Gomez dương tính với COVID-19, hủy bỏ nhiều chương trình

Selena Gomez dương tính với COVID-19, hủy bỏ nhiều chương trình

VTV.vn - Nữ ca sĩ cũng cảnh báo với mọi người không nên chủ quan vì dịch COVID-19 vẫn chưa biến mất.
27/10/2022
Phi hành gia chia sẻ những điều "đáng báo động" khi nhìn Trái đất từ vũ trụ

Phi hành gia chia sẻ những điều "đáng báo động" khi nhìn Trái đất từ vũ trụ

VTV.vn - Nhà du hành vũ trụ người Pháp Thomas Pesquet đã trải qua 6 tháng trên Trạm Vũ trụ Quốc tế và đưa ra nhiều lời cảnh báo về hành tinh của chúng ta.
26/01/2022
Nóng vội vượt xe tải ở khúc cua và cái kết

Nóng vội vượt xe tải ở khúc cua và cái kết

VTV.vn - Nhiều trường hợp đã cố tình vượt tại khúc cua và đã không tránh khỏi va chạm chứ không được may mắn như chiếc xe con trong clip.
09/01/2022
Đập tan "cơn khát" phim kinh dị với loạt phim đổ bộ rạp Việt tháng 12

Đập tan "cơn khát" phim kinh dị với loạt phim đổ bộ rạp Việt tháng 12

VTV.vn - Tháng 12 này, khán giả sẽ được thưởng thức loạt phim kinh dị vô cùng đa dạng, khai thác nhiều đề tài như trừ tà, cầu hồn, giải mã các hiện tượng kỳ bí...
02/12/2021
Bùng phát ổ dịch mới – lời cảnh báo về sự chủ quan sau nới lỏng giãn cách

Bùng phát ổ dịch mới – lời cảnh báo về sự chủ quan sau nới lỏng giãn cách

VTV.vn - Việc người dân sau thời gian ở nhà, khi nới lỏng rất dễ chủ quan, tiềm ẩn nguy cơ bùng phát và lây lan dịch bệnh.
05/10/2021
Sử dụng đồ uống có cồn làm tăng nguy cơ ung thư

Sử dụng đồ uống có cồn làm tăng nguy cơ ung thư

VTV.vn - Lạm dụng đồ uống có cồn là một trong những nguyên nhân hàng đầu dẫn đến căn bệnh ung thư trên toàn thế giới.
18/07/2021
Ô tô và xe máy va chạm với nhau do vượt đèn đỏ

Ô tô và xe máy va chạm với nhau do vượt đèn đỏ

VTV.vn - Cả tài xế xe ô tô và xe máy đều vượt đèn đỏ dẫn tới việc va chạm với nhau.
01/05/2021
Cứu sống bé trai bị cá sấu tấn công

Cứu sống bé trai bị cá sấu tấn công

VTV.vn - Bệnh viện Đa khoa Thanh Vũ Medic Bạc Liêu vừa tiếp nhận một trường hợp cấp cứu hy hữu là bé trai 34 tháng tuổi bị cá sấu tấn công.
22/04/2021
EU cảnh báo cấm AstraZeneca xuất khẩu vaccine ngừa COVID-19

EU cảnh báo cấm AstraZeneca xuất khẩu vaccine ngừa COVID-19

VTV.vn - Đây là diễn biến mới nhất trong tranh cãi đang ngày một xấu đi giữa hai bên liên quan đến việc giao hàng bị chậm trễ.
21/03/2021
Xe tải vượt ẩu hất văng xe máy chở 2 con nhỏ xuống đường

Xe tải vượt ẩu hất văng xe máy chở 2 con nhỏ xuống đường

VTV.vn - Mặc dù đoạn đường đông và hẹp, chiếc xe tải vẫn cố ý vượt ẩu suýt chút nữa cán phải 3 mẹ con người đang đi xe máy bên cạnh.
26/02/2021
Lần đầu tiên sếu đầu đỏ không về ĐBSCL

Lần đầu tiên sếu đầu đỏ không về ĐBSCL

VTV.vn - Lần đầu tiên, sếu đầu đỏ đã không bay về, trú lại tìm thức ăn tại vùng đất ngập nước ở Đồng bằng sông Cửu Long.
06/01/2021
Sưởi ấm bằng than, 1 trẻ tử vong

Sưởi ấm bằng than, 1 trẻ tử vong

VTV.vn - Một cháu nhỏ ở xã Phố Cáo, huyện Đồng Văn (tỉnh Hà Giang) đã tử vong vì ngạt khí do gia đình đốt than trong phòng để sưởi ấm.
21/12/2020
Clip: Mất an toàn do sang đường bất cẩn

Clip: Mất an toàn do sang đường bất cẩn

VTV.vn - Người đi bộ cũng có nguy cơ gặp tai nạn giao thông, đặc biệt nhiều rủi ro hơn với trẻ em, nhất là khi sang đường một mình mà không có sự giám sát của người lớn.
29/11/2020

Bạn không thể gửi bình luận liên tục.
Xin hãy đợi 60 giây nữa.